隱形矯正


看不見的矯正,看得見的笑容

隱形矯正

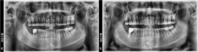
單顆缺牙人工植牙

病患莊先生,35年次,退休人員

主訴 : 右下後牙咬東西時劇痛
口腔檢查 : 右下牙齒斷裂
治療計劃 : 將右下後牙拔除後,等待三個月癒合期,進行人工植牙, 三個月後接出假牙基座印模製作正式假牙!

實例照片僅為資訊介紹及分享,效果可能因個人體質及保養方式不同而有所差異。

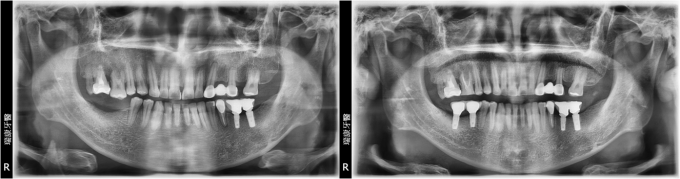
上顎多顆缺牙重建

病患蘇小姐,65年次,上班族

主訴 : 想要重建右上缺牙區
治療計劃 : 安排精密3D電腦斷層評估後,進行人工植牙, 三個月後進行APF增加角化黏膜 後續接出假牙基座印模製作正式假牙!

PS:患者表示:醫師很細心,解說詳細!

實例照片僅為資訊介紹及分享,效果可能因個人體質及保養方式不同而有所差異。


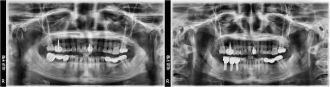
下顎多顆缺牙重建

病患王先生,57年次,上班族

主訴 : 想要重建右下缺牙區
治療計劃 : 安排精密3D電腦斷層評估後,進行人工植牙, 三個月後接出假牙基座印模製作正式假牙!

實例照片僅為資訊介紹及分享,效果可能因個人體質及保養方式不同而有所差異。

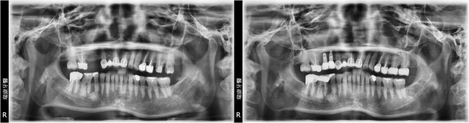
下顎多顆缺牙重建

病患呂小姐,65年次,家庭主婦

主訴 : 右下牙橋搖晃嚴重,想重建
治療計劃: 拔除嚴重牙周病之牙齒,等待三個月癒合期, 安排精密3D電腦斷層評估後,進行人工植牙, 三個月後接出假牙基座印模製作正式假牙!

實例照片僅為資訊介紹及分享,效果可能因個人體質及保養方式不同而有所差異。